A single injection eased severe, chronic pain caused by late-stage bone cancer in dogs, according to a study in the November issue of Anesthesiology. Dogs with bone cancer that received a neurotoxin injection had significantly more pain relief than those that got standard care without the injection.
“Dogs are part of the family and we do everything we can to relieve them of pain and discomfort when they are sick,” said Dorothy Cimino Brown, D.V.M., School of Veterinary Medicine, University of Pennsylvania, Philadelphia. “In addition to sharing emotional attachments with our dogs, humans share many of the same ailments our pets suffer when fighting cancer. By studying the positive pain relief this treatment afforded dogs, we are hopeful it may also be effective for humans.”

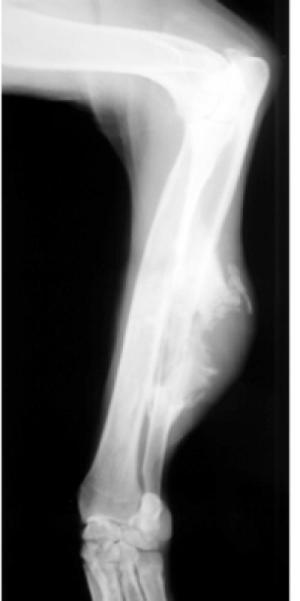
A radiograph of a dog’s leg with a cancerous lesion. (Credit: Image courtesy of American Society of Anesthesiologists (ASA))
The owners of 70 dogs enrolled their pets in this study. Half the dogs received an injection of a neurotoxin, called substance P-saporin (SP-sap), as well as standard care. The other half (i.e., the control group) received standard care without the neurotoxin injection. The average age of the dogs was between 8 and 9 years and their average weight was 90 pounds. Multiple breeds participated in the study, including: Rottweilers, Labrador Retrievers, Golden Retrievers and mixed breeds.
The evolution of bone cancer pain in dogs parallels what occurs in humans, with the frequency and intensity of pain increasing over weeks and months. As the cancer advances, both canine and human patients experience life-altering pain, which greatly affects their daily activities and quality of life. The standard treatment for dogs with late-stage bone cancer can include opioids, steroids, and palliative radiation. All of these treatments can have negative side effects.
Within six weeks of beginning the study, 74 percent (26) of the dogs in the control group needed to be “unblinded” (i.e., their status in the study revealed) and their pain relief regimen adjusted compared to 24 percent of the dogs (eight) in the group that received the injection. This was a statistically significant difference.
Other study results included a 6 percent increase in pain severity scores for dogs in the control group, while the dogs in the SP-sap group had no change in pain severity score. In addition, the dogs in the control group had an 8 percent increase in how pain interferes with their typical activities, while the SP-sap dogs had a 5 percent improvement in this pain impact score. Finally, one dog in the control group responded with improved lameness, while 6 dogs in the SP-sap group became less lame. While these secondary study results were not statistically significant because they were only assessed two weeks after injection, they are promising.









Pingback: Risk factors for bone cancer in dogs | DoggyMom.com